Die Kariesprävalenz und die Karieserfahrung bei zwölfjährigen Kindern in Deutschland sind in den letzten 25 Jahren überaus stark zurückgegangen. Als eine Hauptursache für diese Entwicklung, die auch in anderen Industrieländern erkennbar ist, wird die verbreitete Verfügbarkeit von Fluorid an der Zahnoberfläche angesehen.
Metaanalysen bestätigen mit hoher Evidenz, dass fluoridhaltige Zahnpasten einen Kariesrückgang bewirken [Marinho et al., 2003]. Dieser unbestritten bedeutende Fluorideffekt soll und darf in keiner Weise infrage gestellt werden, wenn im Folgenden die seit Längerem bekannten Stoffwechselwege von Fluorid und Aspekte dessen Toxizität dargestellt werden.
Grundlagen des Elements
Ubiquitär: Fluoride sind Bestandteil von Salzen des Elementes Fluor. Fluorid ist überall vorhanden: In jedem Boden, in jedem Wasser, auch in jedem Trinkwasser, mithin auch in jedem pflanzlichen oder tierischen Organismus. Fluorid ist somit kein Fremdstoff für den menschlichen Organismus.
Obgleich Fluorid das in der Umwelt am 13. häufigsten vorkommende Element darstellt [Buzalaf und Whitford, 2011], ist seine Konzentration durchweg sehr gering und wird in Flüssigkeiten in Größenordnungen von mg/Liter gemessen. In der Zahnmedizin ist die Darstellung als ppm (parts per million) üblich, die der Angabe von mg/L beziehungsweise µg/ml entspricht.
Vergleichsweise hohe Fluoridkonzentrationen können in Böden mit vulkanischer Aktivität oder Vergangenheit gefunden werden. Natürlich vorkommende Wasser in diesen Gebieten sind ebenfalls mit höheren Fluoridkonzentrationen versehen. In Deutschland weisen mehr als 90 Prozent aller Trinkwässer Fluoridgehalte von weniger als 0,3 ppm auf [Bundesinstitut für Risikobewertung, 2005].
Bedeutung: Fluorid ist ein Spurenelement mit großer Bedeutung für höhere Lebewesen. Es ist unbedingt zur Bildung von Apatitstrukturen, also von Knochen und Zähnen, erforderlich. In den Zahnhartgeweben ist Fluorid ungleichmäßig verteilt: Die höchste Konzentration liegt im inneren Dentin, unmittelbar neben der Pulpa vor. Relevant ist allerdings die Verteilung im Schmelz. Hier ist die höchste Konzentration an der Schmelzoberfläche mit einer Konzentration von ca. 200 – 300 ppm zu finden [Weatherell et al., 1977].
Nahrung: Lebensmittel enthalten durchweg nur sehr geringe Fluoridmengen. Allerdings können einzelne Mineralwässer deutlich höhere Fluoridgehalte aufweisen. Sofern die Fluoridkonzentration 1,5 ppm überschreitet, muss auf der Wasserflasche ein Hinweis aufgedruckt sein, dass das Mineralwasser für Säuglinge und Kinder unter sieben Jahren nicht zum regelmäßigen Verzehr geeignet ist [Mineral- und Tafelwasser-Verordnung, Bundesministerium für Ernährung und Landwirtschaft, 2014]. Zweck des Hinweises ist, der Entstehung von Fluorosen keinen Vorschub zu leisten.
Abbildung 1: Berechnungsbeispiel zur akuten Toxizität von Fluorid nach Verzehr einer Tube Kinderzahnpaste durch ein dreijähriges Kind. © Schiffner
Fluorose: Bereits um 1900 wurde in überlieferten Berichten über das endemische Auftreten von geflecktem Zahnschmelz in Neapel oder Colorado Springs [„Colorado brown stain“; Gülzow 1995, National Institute of Dental and Craniofacial Research, undatiert] informiert. Erste Studien zur Ermittlung der Ursache des gefleckten Schmelzes wiesen bereits auf Trinkwasser mit hohen Anteilen von Fluorid in diesen Gebieten hin. Zugleich fiel aber auch auf, dass in Gebieten mit hohem Fluoridgehalt des Trinkwassers eine niedrigere Kariesprävalenz zu beobachten war [Gülzow, 1995; National Institute of Dental and Craniofacial Research, undatiert].
Diese beiden Beobachtungen waren Anlass zu der „21 Städte-Studie“ von Dean. Im Ergebnis dieser in mehreren Publikationen veröffentlichten Untersuchungen wurden deutliche Zusammenhänge zwischen steigendem Fluoridgehalt des Trinkwassers sowie abnehmender Kariesprävalenz bei zugleich zunehmender Fluoroseprävalenz gefunden [Dean, 1938; Dean et al., 1941; Dean et al., 1942].
Abb. 2 Die Deklaration auf der Mineralwasserflasche sagt deutlich, dass dieses Wasser sich zum Beispiel nicht zur Zubereitung von Kinder- breien oder von Flaschennahrung eignet. © Schiffner
Optimaler Fluoridgehalt: Diese Kenntnis führte zur Formulierung eines „optimalen Fluoridgehaltes“ von 1 ppm Fluorid im Trinkwasser, um bei möglichst geringer Karieslast zugleich möglichst wenig Fluorosen zu erhalten [National Institute of Dental and Craniofacial Research, undatiert]. Dieser Empfehlung folgend wurde seither in den USA in großem Umfang die Trinkwasserfluoridierung mit einem Anheben des natürlichen Fluoridgehaltes auf 1 ppm durchgeführt. 2015 wurde eine neue Empfehlung mit einem Fluoridgehalt von 0,7 ppm ausgesprochen [U.S. Department of Health Human Services, 2015], die den überwiegend lokalen Wirkungsmechanismus von Fluorid und die in den vergangenen Jahrzehnten erheblich gestiegene Verfügbarkeit fluoridhaltiger Zahnpflegeprodukte berücksichtigt.
Fluorid-Stoffwechsel
Die Stoffwechselwege von Fluorid im menschlichen Organismus sind gut dokumentiert. Generell wird im menschlichen Serum und im Plasma ein Fluoridspiegel von 0,01 bis 0,025 ppm aufrechterhalten. Nach der oralen Aufnahme wird Fluorid aus wasserlöslichen, gut dissoziierenden Verbindungen schnell und fast vollständig im Gastrointestinaltrakt resorbiert [Rugg-Gunn et al., 2011]. Weniger gut lösliche Verbindungen (wie Kalziumfluorid) werden verzögert und in geringerem Maße resorbiert. Nach der Einnahme von 1 mg Fluorid kommt es zu einem raschen Anstieg der Plasmakonzentration auf rund 0,05 ppm; diese Maximalkonzentration wird nach etwa 30 Minuten erreicht. Anschließend wird das Fluorid aus dem Plasma eliminiert; nach etwa drei bis sechs Stunden ist der Ausgangslevel wieder erreicht [Rugg-Gunn et al., 2011]. Die Eliminierung erfolgt zum übergroßen Teil durch die Nieren [Buzalaf und Whitford, 2011]. Etwa jeweils ein Prozent der aufgenommenen Fluoridmenge wird über die Speicheldrüsen und die Schweißdrüsen ausgeschieden. Der Fluorid-eliminierung über den Speichel wurde eine gewisse Bedeutung für die Kariesprävention zugebilligt. Diese Bedeutung kann heute jedoch in Abwägung der geringen hier ausgeschiedenen Menge und in Kenntnis der konzentrationsabhängigen karieshemmenden Wirkung von Fluorid lokal an der Zahnoberfläche nicht mehr angeführt werden.
Die Nieren können beim Erwachsenen die vollständige Ausscheidung von bis zu etwa 10 mg Fluorid pro Tag bewältigen. Im Hintergrund der ausgeglichenen Fluoridbilanz (im Saldo wird die gesamte aufgenommene Fluoridmenge wieder ausgeschieden) findet jedoch stets ein Austausch von rund 36 Prozent der aufgenommenen Fluoridmenge zwischen dem Plasma und dem Skelett- system statt [Buzalaf und Whitford, 2011]. Bei Kindern ist die Fluoridbilanz infolge des Körperwachstums positiv, das heißt, es verbleibt ein beträchtlicher Teil des aufgenommenen Fluorids im Körper. Es findet bei dieser positiven Fluoridbilanz eine Retention von etwa 55 Prozent des aufgenommenen Fluorids in Knochen und Zähnen statt. Die Retention ist physiologisch und dient dem Knochenwachstum sowie der Zahnbildung. Hauptsächlich ist Fluorid im Körper im Skelettsystem anzufinden, in dem nahezu 99 Prozent des gesamten Körperfluorids gespeichert sind [Buzalaf und Whitford, 2011]. Von Bedeutung als Medium, über das die Verteilung des Fluorids in die Zielorgane erfolgt, ist das Plasma. Die Verteilung in die Weichgewebe ist jedoch nicht gleichmäßig. Im Verhältnis zur Plasma-Fluoridkonzentration werden vierfach höhere Konzentrationen in der Niere gefunden. Im Gehirn macht die Konzentration hingegen nur rund 10 Prozent der Plasmakonzentration aus [Buzalaf und Whitford, 2011].
Toxizität
Bezüglich der Toxikologie von Fluorid liegt eine überwältigende Menge wissenschaftlicher Literatur vor. Aus den vielfältigen Untersuchungen geht hervor, dass die Fluoridanwendung in üblichen Mengen allgemeinmedizinisch absolut unbedenklich ist [Gülzow, 1995; Bundesinstitut für gesundheitlichen Verbraucherschutz und Veterinärmedizin, 2002; American Dental Association, 2005; Canadian Dental Association, 2012]. Es wurden weder Zusammenhänge zur Häufigkeit von Erkrankungen oder zum Auftreten von Todesfällen gefunden. Erst ab einer langfristigen Einnahme von rund 8 ppm Fluorid im Trinkwasser werden bei älteren Personen Verdichtungen der Knochenstruktur dokumentiert, und in Gebieten mit einem Fluoridgehalt des Wassers von etwa 20 ppm und mehr (Indien, Südafrika) wurde eine Skelettfluorose beschrieben [Gülzow, 1995].
Zur Kariesprophylaxe werden Fluoridprä- parate und Anwendungsmengen eingesetzt, mit denen die erwähnten Folgen nicht in Erscheinung treten können. Exemplarisch für die wissenschaftlich belegte Unbedenklichkeit der Fluoridanwendung zur Kariesprophylaxe sei die American Dental Association zitiert, die (mit Bezug auf die Trinkwasserfluoridierung) formuliert: „Of the thousands of credible scientific studies on fluoridation, none has shown health problems associated with the consumption of optimally fluoridated water“ [American Dental Association, 2005].
Prinzipiell kann Fluorid zur Kariesprophylaxe lokal auf die Zahnoberfläche aufgetragen werden (zum Beispiel mittels Zahnpaste) oder systemisch, wie über Trinkwasser oder Fluoridtabletten verabreicht werden. Bei der systemischen Anwendung können während der Zahnentwicklung aus dem im Plasma auf 0,01 bis 0,025 ppm verdünnten Fluorid geringe Anteile in den sich entwickelnden Zahnschmelz eingebaut werden. Bei der lokalen Fluoridanwendung an den bereits in der Mundhöhle vorhandenen Zahnflächen können hingegen deutlich höhere Fluoridkonzentrationen wirksam werden. Die karieshemmende Wirkung der Fluorid- anwendung beruht auf dessen lokal an der Zahnoberfläche eintretenden Effekten [Lussi et al., 2012]. Daher wird der lokalen Fluoridapplikation eindeutig der Vorzug gegeben [DGZMK, 2013]. Der Erfolg sogenannter systemischer Fluoridanwendungen ist ebenfalls auf den lokalen Kontakt der entsprechenden Fluorid-Vehikel (Kochsalz, Wasser, Tabletten) mit der Zahnoberfläche zurückzuführen. Die untere toxische Grenze von Fluorid (Probably Toxic Dose PTD) wird mit 5 mg Fluorid pro kg Körpergewicht angegeben [Whitford, 1992 und 2011]. Symptome können Übelkeit, Schwindel und Erbrechen sein. Als Gegenmittel wird die orale Gabe von Kalzium beziehungsweise aus Praktikabilitätsgründen von Milch angegeben, eventuell nach vorherigem Veranlassen des Erbrechens [Whitford, 2011]. Über den Erfolg oder die Notwendigkeit dieser Maßnahmen besteht jedoch keine Evidenz, da die Empfehlungen theoretisch abgeleitet und nicht in hinreichender Anzahl praktisch umgesetzt werden müssen. Dies kann ein Berechnungsbeispiel zur Fluoridbelastung nach Verzehr einer Tube Kinderzahnpaste durch ein dreijähriges Kind veranschaulichen (Abbildung 1). 
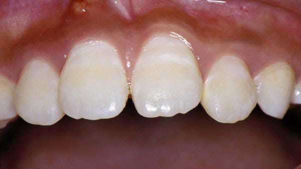
Abb. 3: Diese Abbildung zeigt eine leichte Fluorose. © Schiffner
Akute Toxizität
Es ist erkennbar, dass in diesem Szenario keine toxikologisch relevanten Fluoridmengen aufgenommen werden. Sofern das dreijährige Kleinkind eine gesamte Tube Erwachsenenzahnpaste verzehren sollte, wird die PTD mit den erwähnten unangenehmen Symptomen überschritten. Von ernsthaften Konsequenzen wäre aber auch dieses Szenario weit entfernt.
Die letale Fluorid-Dosis wird mit einer Schwankung von 32 bis 64 mg/kg Körpergewicht angegeben [Whitford, 2011]. Mithin ist ein großer Abstand zwischen hypothetisch verzehrter Fluoridmenge und der letal-toxischen Grenze vorhanden.
Dass diese Feststellung keine der Problematik unangemessene Beschwichtigung darstellt, sondern der Alltagsrealität entspricht, kann einem Report des American Association of Poison Control Centers entnommen werden. Im Jahresbericht 2014, mit dem potenziell Meldungen von 320 Millionen Personen erfasst werden können, sind zwar 19.421 Meldungen des Verschluckens fluoridhaltiger Zahnpaste aufgeführt, es wurde aber – wie auch in vielen Jahres- berichten zuvor – kein letaler Ausgang registriert [Mowry et al., 2015]. Nur in wenigen Einzelfällen (27 Fälle) wurden beachtenswerte Symptomatiken geschildert.
Chronische Toxizität
Während die Problematik akuter toxikologischer Zwischenfälle durch Aufnahme von Fluorid, das zur Kariesprävention angewendet wird, in praxi nicht vorkommt, sind Folgen der Fluoridanwendung im Sinne chronisch-toxikologischer Effekte vorhanden. Der Effekt betrifft hierbei die besonders sensiblen Ameloblasten [Bronckers et al., 2009], nicht hingegen den menschlichen Organismus an anderen Stellen. Daher sollte die pharmakologisch korrekte Einordnung als chronisch-toxischer Effekt in der Wahrnehmung des Begriffs „toxisch“ nicht durch Übertragung auf den gesamten menschlichen Organismus fehlinterpretiert werden.
Aus der fluoridbedingten Störung der Ameloblastenfunktion resultiert eine Schmelzfluorose. Eine typische Schmelzfluorose ist durch das Auftreten weißlicher Linien oder Streifen quer über die Zahnkrone gekennzeichnet, die symmetrisch an den gleichen Zähnen auftreten [DenBesten und Li, 2011].
Die Prävalenz von Fluorosen bei Kindern und Jugendlichen liegt in Deutschland bei 15 Prozent [Reich und Schiffner, 1999]. Jedoch ist der Ausprägungsgrad der Fluorose weit überwiegend als fraglich und als sehr milde oder milde Form charakterisiert. Schwere Formen, die als endemische Schmelzfluorose in Gebieten mit hohem natürlichen Fluoridgehalt im Trinkwasser (vulkanische Böden) beobachtet wurden, kommen bei Verwendung von Fluorid zur Kariesprophylaxe nicht vor [DenBesten und Li, 2011]. 
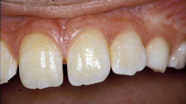
Abb. 4: Diese Abbildung zeigt eine deutliche Fluorose beim Kind. © Schiffner
Da die Schmelzfluorose die Einschränkung der normalen Ameloblastenfunktion, meist in der Phase der Mineralisation, ausweist, können fluorotische Schmelzveränderungen nur während der Phase der Schmelzbildung entstehen [Bronckers et al., 2009]. Dies betrifft, sofern Weisheitszähne nicht berücksichtigt werden, die ersten acht Lebensjahre. Sobald Kinder in den Mund aufgenommene Flüssigkeiten sicher ausspülen können, besteht das Risiko einer Fluorose-Entstehung jedoch nicht mehr. Das ist im Allgemeinen spätestens mit fünf Jahren der Fall [Ericsson und Forsman, 1969]. Generell ist zur Einschätzung des Fluoroserisikos sowie der Auswahl individuell indizierter Fluoridierungsmaßnahmen eine Fluorid-anamnese erforderlich. Die vor dem Hintergrund dieser Anamnese empfohlenen Maßnahmen erfolgen mit Bezug auf das Karies- risiko und stellen ein Ausbalancieren von kariespräventiven Anforderungen und der Reduktion des Fluorose-Risikos dar.
Wissenschaftliche Untersuchungen haben gezeigt, dass bei altersentsprechender Dosierung die aus Fluoridtabletten aufgenommene Fluoridmenge deutlich höher ist als die aus Zahnpasten aufgenommene Menge [Hetzer et al., 2003], und dass rund zwei Drittel der Fluorosefälle auf Fluoridtabletten zurückgeführt werden können [Pendrys, 2000]. In dieser Studie war das verbleibende Drittel der Fluorosefälle mit mehr als einmaligem täglichen Zähneputzen in den ersten zwei Lebensjahren (Paste mit 1000 ppm) verbunden. Da mithin die Fluorose mit größerer Wahrscheinlichkeit nach systemischer Fluorideinnahme auftritt, die karieshemmende Wirkung hingegen auf der lokalen Fluoridwirkung basiert, werden lokale Fluoridierungsmethoden eindeutig gegenüber systemischen Maßnahmen bevorzugt.
In dem erwähnten Ausbalancieren von kariespräventiven Anforderungen bei gleichzeitigem Vermeiden einer Fluorose ist in begründeten Fällen durchaus auch eine individuelle Empfehlung, bei Kindern im Vorschulalter eine höher konzentrierte Fluoridzahnpaste anzuwenden (zum Beispiel 1000 ppm Fluorid), in Erwägung zu ziehen. Insgesamt besteht zwischen der Karieshemmung und dem Fluoridgehalt der Zahnpaste eine deutliche Dosis-Wirkungs-Beziehung [Walsh, 2010].
Kommentar aus der Yellow-Press
Obgleich die Unbedenklichkeit von Fluorid in den zur Kariesprävention verwendeten Zubereitungen und Konzentrationen vieltausendfach belegt ist, werden dennoch periodisch wiederkehrend eine Reihe unterschiedlicher Vorhaltungen gegenüber Fluorid vorgebracht. Neu in diesem Zusammenhang sind Statements, systemisch zugeführtes Fluorid würde sich negativ auf die Intelligenz von Kindern auswirken. In gleicher Weise wird Fluorid mit Verhaltensauffälligkeiten von Kindern in Zusammenhang gebracht.
Als Beleg für die Assoziationen zwischen Fluoridgehalt im Trinkwasser und einem geringeren Intelligenzquotienten der Kinder wird im Wesentlichen eine Übersichtsarbeit zitiert, die insgesamt 27 Studien zusammenfasst [Choi et al., 2012]. Von diesen Studien wurden 25 in China und zwei im Iran durchgeführt. Die natürlichen Fluoridgehalte der in den Studienorten verfügbaren Trinkwasser schwanken zwischen 0,9 und 11 ppm (Mittel der in den Studien angegebenen Maximalwerte: 4,3 ppm). Bei den in diesen Gebieten untersuchten Kindern wurde ein um sieben IQ-Punkte geringerer Intelligenzquotient als in Vergleichsgruppen bestimmt. Die Autoren des Review räumen ein, dass dies innerhalb des Messfehlers der IQ-Bestimmung liege. Allerdings zeigen fast alle der eingeschlossenen Arbeiten in Richtung des geringeren IQ. Hierzu ist jedoch anzumerken, dass die aufgeführten Fluoridkonzentrationen im Trinkwasser die zur Kariesprävention empfohlenen Dosierungen teilweise extrem überschreiten. Ein Zusammenhang zur Trinkwasserfluoridierung oder anderen systemischen kariespräventiven Fluoridierungsmaßnahmen ist nicht vorhanden, und zur Anwendung fluoridhaltiger Mundpflegeprodukte erst recht nicht.
Zudem wird kritisch angemerkt, dass in großen Teilen Chinas zur Beheizung und zum Kochen fluoridhaltige Kohle, teilweise in den Wohnräumen, verfeuert wird, wodurch neben dem Fluorid im Trinkwasser eine zusätzliche Fluoridquelle besteht [Zheng et al., 2007; DenBesten und Li, 2011]. Ebenso wird auf Überlagerung der Studien-Ergebnisse mit hohen Blei- und Arsengehalten einiger Trinkwässer hingewiesen.
Die erwähnte Übersichtsarbeit wird in einer weiteren Arbeit (aus der Feder eines der Co-Autoren genau dieser Übersichtsarbeit) als Beleg – und zwar als einziger Beleg – für neue Kenntnisse zu negativen Begleiterscheinungen hohen Fluoridgehaltes im Trinkwasser aufgeführt [Grandjean und Landrigan, 2014]. In dieser Arbeit wird in einem einführenden Satz erwähnt, dass neurologisch assoziierte Verhaltensauffälligkeiten wie Autismus und ADHS zunehmend festgestellt werden würden. Ein inhaltlicher Zusammenhang zur Anwendung von Fluorid zur Kariesprophylaxe wird in dieser Arbeit nicht hergestellt. Dennoch wird seit Erscheinen dieses Artikels ein derartiger Zusammenhang in einschlägigen Foren postuliert. In einigen Veröffentlichungen – leider auch in zahnmedizinischen Publikationsorganen – wird ein weiterer Bogen zu fluoridhaltigen Zahnpasten geschlagen [SAT1 Ratgeber, 2016; ZWP-online, 2016]. Ein derartiger Zusammenhang wird nicht einmal in der hier kritisierten Originalveröffentlichung in den Raum gestellt. Es muss ausdrücklich betont werden, dass ein solcher Zusammenhang, der das Produkt journalistischer Effekthascherei zu sein scheint, fachlich völlig unbegründet ist.
Was tun?
Eine sehr gute, akribisch recherchierte Grundlage zur Anwendung von Fluorid zur Kariesprophylaxe stellen die in der entsprechenden Leitlinie formulierten zahnmedizinischen Empfehlungen dar [DGZMK, 2013]. Diese Empfehlungen stimmen mit den Aussagen weiterer internationaler Leit- linien überein. Ab Durchbruch des ersten Milchzahnes soll eine fluoridhaltige Kinderzahnpaste zur Zahnpflege angewendet werden. Die Menge ist auf einen dünnen Film zu begrenzen, der auf die Kinderzahnbürste aufgetragen wird. Ab dem Alter von zwei Jahren kann eine größere Menge verwendet werden („Erbse“).
Zusammenfassung
Der Stoffwechsel von Fluorid im menschlichen Organismus ist seit langem bekannt. In praxi weisen die zur Kariesprophylaxe angewendeten Fluoridverbindungen keine akute Toxizität auf. Es kann jedoch als Ausdruck einer chronischen Fluoridierungsfolge zur Schmelzfluorose kommen. In erster Linie wird die Fluorose mit der systemischen Fluoridanwendung in Zusammenhang gebracht. Die Erscheinungsformen sind in der weit überwiegenden Zahl der Fluorosefälle aber fragliche, sehr milde oder milde Ausprägungsgrade. Für weitere auf kariespräventive Maßnahmen zurück- führbare chronische Fluorid-Effekte existieren keine wissenschaftlich haltbaren Belege. Die in der jüngeren Vergangenheit in einschlägigen Foren vorgebrachten Bedenken, systemische Fluoridaufnahme sei mit kognitiven Einschränkungen oder Verhaltensauffälligkeiten bei Kindern verbunden, sind wissenschaftlich fragwürdig beziehungsweise nicht belegt. Ein Zusammenhang zur kariesprophylaktischen Fluoridanwendung besteht nicht. Ab Durchbruch des ersten Milchzahnes soll eine regelmäßige Zahnreinigung mit einer fluoridhaltigen Kinderzahnpaste erfolgen.
Prof. Dr. Ulrich Schiffner
Universitätsklinikum Hamburg-Eppendorf, Zentrum für Zahn-, Mund- u. Kieferheilkunde Poliklinik für Zahnerhaltung und Präventive Zahnheilkunde
Matinistrasse 52, 20246 Hamburg, Diese E-Mail-Adresse ist vor Spambots geschützt! Zur Anzeige muss JavaScript eingeschaltet sein!
http://www.zm-online.de/hefte/Stoffwechsel-und-Toxizitaet-von-Fluorid_383189.html/alles.html#4





